Περιφερική Ελκώδης Κερατίτιδα (Peripheral Ulcerative Keratitis)
Η έννοια περιφερική ελκώδης κερατίτιδα αναφέρεται σε μια ομάδα φλεγμονωδών νοσημάτων με κοινό χαρακτηριστικό την λέπτυνση του περιφερικού κερατοειδούς.
Η περιφερική ελκώδης κερατίτιδα μπορεί να έχει λοιμώδη ή όχι αιτιολογία:
- Λοιμώδη αίτια περιφερικής ελκώδους κερατίτιδας
                                - Οφθαλμικές λοιμώξεις: βακτηριακή, ερπητική, μυκητιασική κερατίτιδα
- Συστηματικές λοιμώξεις: φυματίωση, σύφιλη, νόσος Lyme
 
- Μη λοιμώδη αίτια περιφερικής ελκώδους κερατίτιδας
                                - Οφθαλμικές παθήσεις: μετεγχειρητικό έλκος, τραύμα, οφθαλμική ροδόχρους νόσος, έλκος Mooren, περιφερική εκφύλιση Terrien
- Συστηματικές αυτοάνοσες παθήσεις: ρευματοειδής αρθρίτιδα, οζώδης πολυαρτηρίτιδα, φλεγμονώδης νόσος του εντέρου (νόσος του Crohn και ελκώδης κολίτιδα), συστηματικός ερυθηματώδης λύκος, υποτροπιάζουσα πολυχονδρίτιδα, σκληρόδερμα, κοκκιωμάτωση με πολυαγγειίτιδα / νόσος Wegener, μικροσκοπική πολυαγγειίτιδα, σαρκοείδωση
 
 
                        Περιφερική Ελκώδης Κερατίτιδα λόγω Ρευματοειδούς Αρθρίτιδας
Η περιφερική ελκώδης κερατίτιδα μπορεί να εμφανιστεί μόνο στο ένα ή και στα δύο μάτια, ενώ 14% των ασθενών εμφανίζουν και συνοδό σκληρίτιδα. Το 50% των ασθενών που εμφανίζουν περιφερική ελκώδη κερατίτιδα πάσχουν από κάποια συστηματική αυτοάνοση πάθηση και στο ¼ των ασθενών αυτών η περιφερική ελκώδης κερατίτιδα αποτελεί και την πρώτη εμφάνιση της συστηματικής νόσου. Η πιο συχνή συστηματική νόσος σε ασθενείς με περιφερική ελκώδη κερατίτιδα είναι η ρευματοειδής αρθρίτιδα (34-42% των ασθενών).
Τα πιο συχνά συμπτώματα της περιφερικής ελκώδους κερατίτιδας είναι:
- Πόνος
- Ερυθρότητα των ματιών
- Δακρύρροια
- Ευαισθησία στο φως
- Θολή όραση
 
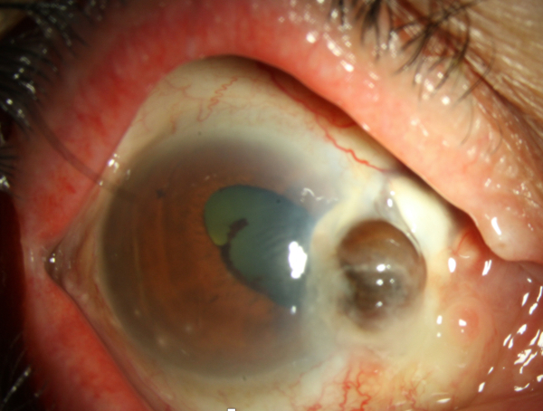
                        Περιφερική Ελκώδης Κερατίτιδα με Διάτρηση του Περιφερικού
                                Κερατοειδούς
                                σε Ασθενή με Κοκκιωμάτωση με Πολυαγγειίτιδα (Νόσος Wegener) 
Για την διάγνωση της περιφερικής ελκώδους κερατίτιδας η γιατρός Δρ. Παλιούρα θα διενεργήσει μια πλήρη οφθαλμολογική εξέταση, εστιάζοντας στον περιφερικό κερατοειδή για να εκτιμήσει το βάθος της λέπτυνσης του κερατοειδούς, την έκταση του επιθηλιακού ελλείμματος και τον βαθμό της φλεγμονής. Μπορεί να διενεργήσει και οπτική τομογραφία συνοχής (OCT) προσθίου ημιμορίου για ακριβέστερη εκτίμηση του βαθμού λέπτυνσης του κερατοειδούς.
Αν υπάρχει υποψία λοίμωξης, η γιατρός Δρ. Παλιούρα θα πάρει δείγμα από την περιοχή του περιφερικού έλκους για χρώσεις και καλλιέργειες, ώστε να εντοπιστεί ο παθογόνος μικροοργανισμός. Θα συστήσει επίσης εργαστηριακές εξετάσεις για να διαπιστωθεί αν υπάρχει συστηματική λοίμωξη ή υποκείμενο αυτοάνοσο νόσημα, όπως είναι οι εξής:
- Γενική αίματος
- Γενικές βιοχημικές εξετάσεις (σάκχαρο, ουρία, κρεατινίνη, κάλιο, νάτριο)
- Ταχύτητα καθιζήσεως ερυθρών (ESR)
- Αντιδραστική πρωτεΐνη C (CRP)
- Εξέταση ούρων
- Αντιπυρηνικά αντισώματα (ANA)
- Αντι-ουδετερόφιλα κυτταροπλασματικά αντισώματα (cANCA, pANCA)
- Ρευματοειδή παράγοντα (RF)
- Αντι-κυκλικό κιτριλιωμένο πεπτίδιο (anti-CCP)
- Εξέταση για σύφιλη (RPR/VDRL και φθορίζον τριβονικό αντίσωμα FTA-Abs)
- Ακτινογραφία θώρακα
- Εξέταση για φυματίωση (Quantiferon Gold / Interferon Gamma Release Assay)
- Ένζυμο μετατροπής αγγειοτενσίνης (ACE)
Πριν
 
                    Μετά
 
                    Ασθενής με Περιφερική Ελκώδη Κερατίτιδα Πριν και Μετά από Αγωγή με Κορτιζόνη από το Στόμα
Η θεραπευτική αντιμετώπιση της περιφερικής ελκώδους κερατίτιδας εξαρτάται από το βαθμό λέπτυνσης του κερατοειδούς, το επίπεδο της φλεγμονής και το υποκείμενο νόσημα, αν υπάρχει.
Για μικρού/μέτριου βάθους περιφερικό έλκος, συστήνεται η χρήση τεχνητών δακρύων χωρίς συντηρητικά, η τοπική αγωγή με κορτιζόνη και η τοποθέτηση θεραπευτικού φακού επαφής, που θα βοηθήσει στην επιθηλιοποίηση του έλκους.
Για μεγάλου βάθους περιφερικό έλκος με ρίσκο επικείμενης διάτρησης, μπορεί να τοποθετηθεί αμνιακή μεμβράνη ή και κυανοακρυλικό συγκολλητικό για την προστασία της περιοχής.
Και στις δύο παραπάνω περιπτώσεις συστήνονται και τοπικά αντιβιοτικά κολλύρια για την πρόληψη βακτηριακής μόλυνσης, όπως επίσης και δοξυκυκλίνη και βιταμίνη C από το στόμα, τα οποία μειώνουν την πιθανότητα περαιτέρω τήξης του κερατοειδούς.
 
                     
                    Διάτρηση Κερατοειδούς λόγω
                            Περιφερικής Ελκώδους Κερατίτιδας
                            (αριστερά) και 
Αντιμετώπισή της με Σκληρικό Μόσχευμα και Αμνιακή Μεμβράνη
                            (δεξιά)
Σε περίπτωση διάτρησης του κερατοειδούς, η χειρουργός Δρ. Παλιούρα θα συστήσει χειρουργική επέμβαση, η οποία ανάλογα με το μέγεθος της διάτρησης μπορεί να περιλαμβάνει στρώσεις αμνιακής μεμβράνης, κερατοπλαστική μερικού πάχους και σκληρικό μόσχευμα. Η αφαίρεση του επιπεφυκότα δίπλα στην περιοχή της περιφερικής ελκώδους κερατίτιδας μπορεί επίσης να πραγματοποιηθεί για τον περιορισμό της φλεγμονής.
Πρόγνωση: Η πρόγνωση ως προς την όραση σχετίζεται με τη σοβαρότητα της νόσου και το βαθμό λέπτυνσης του κερατοειδούς. Οι ασθενείς με περιφερική ελκώδη κερατίτιδα και υποκείμενη συστηματική αυτοάνοση νόσο έχουν αυξημένο ποσοστό θνησιμότητας από αγγειακά επεισόδια, γι’αυτό και χρειάζονται χρόνια ανοσοκαταστολή και παρακολούθηση από ρευματολόγο.
Δημοσιεύσεις, Κεφάλαια, Ομιλίες και Εργασίες της Δρ. Παλιούρα σχετικά με την Περιφερική Ελκώδη Κερατίτιδα
- Παλιούρα, Σ. (2017) Το «Κόκκινο Μάτι». 13ο Ετήσιο Συνέδριο Top-10 στις Λοιμώξεις, Αθήνα.
- Παλιούρα, Σ. (2018) Οφθαλμολογικές Εκδηλώσεις Ρευματολογικών Παθήσεων. 8ο Ετήσιο Συνέδριο της Ελληνικής Εταιρείας Αυτοάνοσων και Ρευματολογικών Παθήσεων, Λάρισα.
- Vingopoulos, F., Palioura, S. (2018) Bilateral episcleritis, erythema nodosum and atrial fibrillation. The 9th EuCornea Congress, Vienna, Austria.
- Vingopoulos, F., Palioura, S. (2018) Bilateral episcleritis, erythema nodosum and atrial fibrillation. The 36th Annual Congress of the European Society of Cataract and Refractive Surgery, Vienna, Austria.
- Vingopoulos, F., Palioura, S. (2018) Bilateral episcleritis, erythema nodosum and atrial fibrillation. The XIV Aegean Cornea Meeting, Mykonos, Greece.
- Παλιούρα, Σ. (2019) Κλινικές Ερωτήσεις στην Οφθαλμολογία. Ετήσιο Συνέδριο της Οφθαλμολογικής Εταιρείας Κεντρικής Ελλάδας, Λάρισα.
- Vingopoulos, F., Karagiotis, T., Palioura, S. (2020) Bilateral interstitial keratitis, erythema nodosum and atrial fibrillation as presenting signs of polyarteritis nodosa. American Journal of Ophthalmology Case Reports 21;18:100619. doi: 10.1016/j.ajoc.2020.100619.
